Select Your Language

Notifications

webdunia
webdunia
webdunia
webdunia

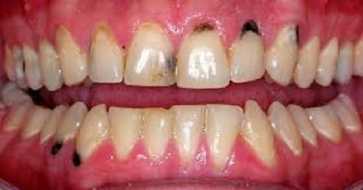
ಕರೆ ಕಟ್ಟಿರುವ ಹಲ್ಲುಗಳನ್ನು ಕ್ಲೀನ್ ಮಾಡಲು ಇದರಿಂದ ಹಲ್ಲುಜ್ಜಿ

ಬೆಂಗಳೂರು
ಬೆಂಗಳೂರು , ಶನಿವಾರ, 4 ಏಪ್ರಿಲ್ 2020 (07:23 IST)
ಬೆಂಗಳೂರು : ಕೆಲವರು ಸರಿಯಾಗಿ ಹಲ್ಲುಜ್ಜದಿದ್ದಾಗ ಹಲ್ಲುಗಳಲ್ಲಿ ಕರೆ ಕಟ್ಟಿರುತ್ತದೆ. ಇದರಿಂದ ಬಾಯಿ ಕೆಟ್ಟ ವಾಸನೆ ಬರುತ್ತಿರುತ್ತದೆ. ಈ ಹಲ್ಲುಗಳನ್ನು ಕ್ಲೀನ್ ಮಾಡಲು ಇದರಿಂದ ಹಲ್ಲುಜ್ಜಿ.


1 ಚಿಟಿಕೆ ಉಪ್ಪು, ಸೋಡಾ, ಅರಶಿನ ಮೂರನ್ನು ಚೆನ್ನಾಗಿ ಮಿಕ್ಸ್ ಮಾಡಿ ಅದಕ್ಕೆ ಸ್ವಲ್ಪ ನಿಂಬೆ ರಸ ಹಾಗೂ ಟೂತ್ ಪೇಸ್ಟ್ ಮಿಕ್ಸ್ ಮಾಡಿ ಬಳಿಕ ಆ ಪೇಸ್ಟ್ ನ್ನು ಟೂತ್ ಬ್ರೆಶ್ ಸಹಾಯದಿಂದ ತೆಗೆದುಕೊಂಡು ಬ್ರೆಶ್ ಮಾಡಿ. ಹೀಗೆ ದಿನಕ್ಕೆ 2 ಬಾರಿ ಮಾಡುತ್ತಾ ಬಂದರೆ ಹಲ್ಲಿನಲ್ಲಿ ಕರೆ ಕಟ್ಟಿರುವುದು ಕ್ಲೀನ್ ಆಗುತ್ತದೆ.

Share this Story:

Follow Webdunia kannada

ಮುಂದಿನ ಸುದ್ದಿ

ಪದೇ ಪದೇ ಹಳೇ ಲವರ್ ಕೊಟ್ಟ ಆ ಸುಖ ನೆನಪಾಗೋದು ಏಕೆ?